A weekend cardiac survival gap
A study found disparities. One factor: Weekday care. Doctors say that's changing.

Editor's note: This story was initially published March 15, 2007.
There's never a good time to have a heart attack, but some days are apparently worse than others.
A study published in today's New England Journal of Medicine reports that New Jersey heart-attack patients admitted to hospitals on weekends between 1987 and 2002 were more likely to die than those who went in during the week.
The death rate for weekend heart-attack sufferers was significantly higher one day after admission as well as at one month, six months and a year later, according to the analysis by researchers from the University of Medicine and Dentistry of New Jersey.
"Our research suggests that a lower use of invasive procedures, such as angioplasty, to unblock arteries in patients admitted over the weekend is part of the difference," said William J. Kostis, a medical student at the Robert Wood Johnson Medical School in New Brunswick and the study's lead author.
The study examined 231,164 heart-attack patients over the 16-year period. It focused on the nearly 60,000 patients treated from 1999 to 2002.
Several local cardiologists said the findings were not surprising. They noted that since 2002, the treatment of heart attacks has advanced to now emphasize interventions - such as angioplasty - that unblock arteries faster.
Kostis said he and his colleagues found patients were one-third less likely to get angioplasty on weekends.
They also reported that the difference in mortality rates represented an extra death for every 100 heart-attack patients treated on weekends.
Nonetheless, Kostis said, "we don't want people to get the idea that they should wait to go to the hospital. If someone has symptoms that are suggestive of a heart attack, you should get to the hospital as soon as possible. By no means wait."
Weekend heart-attack patients admitted to hospitals in Philadelphia, Bucks, Chester, Delaware and Montgomery Counties from 2001 through 2005 died at a higher rate, an Inquirer computer analysis found, than weekday patients.
Over those five years, 2,093, or 11.2 percent, of the 18,611 weekend heart-attack patients died during their hospital stay. That compared with 6,517, or 10.2 percent, of the 63,586 weekday patients.
A heart attack occurs when a blocked vessel prevents sufficient blood from reaching the heart. When that happens, some heart muscle begins to die.
"Now, the challenge is to save as much heart muscle as possible," said Howard Weitz, codirector of the Jefferson Heart Institute at Thomas Jefferson University Hospital.
Weitz said that the data used in the New Jersey study were from 2002 and earlier. Today, cardiologists emphasize interventions to clear the clog as quickly as possible, which entails getting patients to the hospital and evaluated for treatment faster.
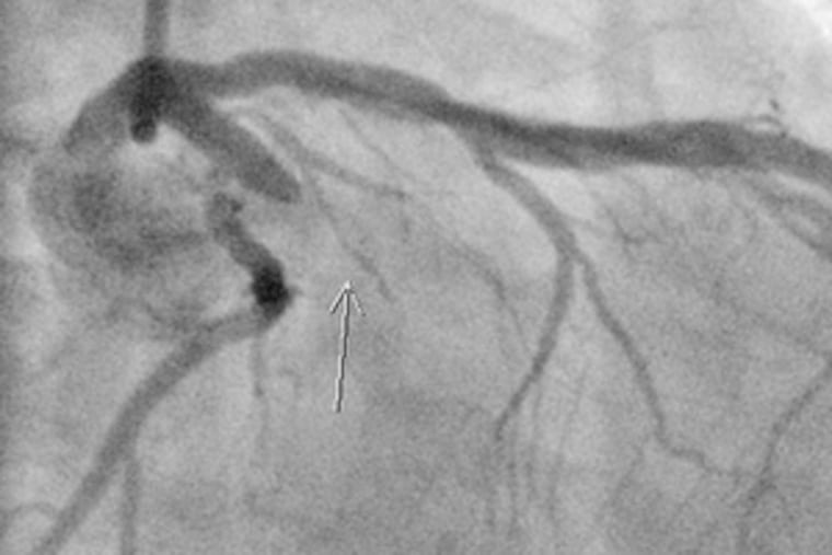
Medical treatment for heart attacks typically uses drugs that include aspirin, blood thinners and "clot busters." But experts agree that the best course is to open the artery with angioplasty or another intervention if at all possible.
In angioplasty procedures, a catheter is threaded through an artery from a small incision usually near the groin up to the blockage. There, a balloon is inflated to restore blood flow. Often a stent - a small wire-mesh scaffold - is used to prop the blood vessel open.
The established guidelines of both the American Heart Association and the American College of Cardiology are to get the balloon open within 90 minutes of a patient's arrival at the hospital. But not all hospitals can perform the procedure.
"There is no question in anybody's mind that angioplasty is the clear treatment winner," said Jan R. Weber, chief of the division of cardiology at Our Lady of Lourdes Medical Center in Camden. The challenge, he said, is getting the patient to the right hospital.
Weber said New Jersey was considering a protocol that would encourage emergency personnel to take heart-attack patients to hospitals that have advanced cardiac-care capabilities, much as accident victims and other seriously injured people are transported to designated trauma centers.
The Chester County Hospital always has a cardiac-care team ready.
At 4:18 a.m. yesterday, interventional cardiologist Timothy J. Boyek got the call on his cell phone. A 62-year-old man had arrived at the hospital a few minutes earlier. He was having a heart attack and needed angioplasty.
Members of Boyek's team - two nurses and a cardiovascular technician - were alerted to go to the hospital's cardiac-catheterization laboratory and prepare for the patient.
Jumping out of bed, Boyek threw on the corduroys and dress shirt he had laid out the night before, quickly brushed his teeth, and ran a comb through his hair. It took him only 15 minutes to drive his truck from his home in Newtown Square to the hospital in West Chester.
Once there, he put on scrubs and rushed to the cath lab. Seventy-nine minutes after the patient arrived in the ER, Boyek and his team had inflated the balloon, placed two stents, and restored blood flow to his heart.
"If you are going to be in the business of doing angioplasty," Boyek said, "it needs to be seven days a week, 24 hours a day, or you are not serving people well."