Five questions about cataract surgery
Mark H. Blecher has not yet had cataract surgery himself. But the cataract and refractive surgeon has been doing the procedure on others for 30 years, during which the safety and the outcomes have improved dramatically.

Mark H. Blecher has not yet had cataract surgery himself.
But the cataract and refractive surgeon has been doing the procedure on others for 30 years, during which the safety and the outcomes have improved dramatically.
So at whatever point Blecher does need cataract surgery - as many do - he's "looking forward to the time when I can replace my failing lenses with superior technology."
Blecher, co-chief of cataract and primary eye service at Wills Eye Hospital, recently spoke to us about cataract surgery today, and what's in store.
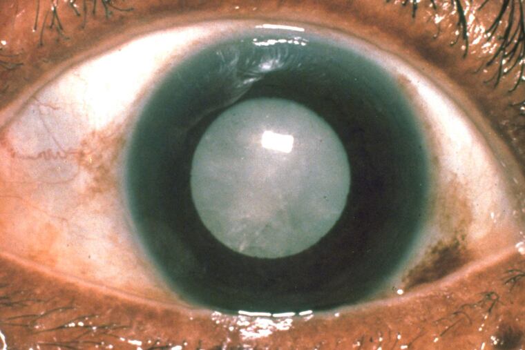
What is a cataract and when do people get them?
A cataract is a clouding of the lens of the eye. Cataracts start forming much earlier than most people think. As I like to tell people who are surprised they have a cataract at a young age, your lens is never as clear as the day you were born. So the opacity starts quite early, but is very subtle and inconsequential for quite a while. At some point, the opacity builds up enough that we can look at the eye and see it, and we call it a cataract.
We are seeing people coming in at an earlier and earlier age for cataract surgery. So the question obviously becomes: Are people getting cataracts earlier, or are we operating earlier? My feeling is that cataracts are occurring a bit earlier. They can occur for a wide variety of reasons, not just simply getting older. Medications, especially steroids of any form, can hasten cataract formation. Diabetes hastens cataract formation, and everyone knows that we have a problem with increasing diabetes in the populations, so that may be a factor.
I also think that we are operating earlier because the surgery is better and safer, so people are not waiting. And we're operating earlier because our surgical results, our optical results, are significantly better.
People thought of cataracts as something their grandparents got when they were quite old. But today, people getting cataracts in their 40s and 50s is not unheard of.
How common is cataract surgery?
Cataract surgery is the most commonly performed procedure in the Medicare population - people 65 and older. And it's definitely the most successful. Some patients still don't realize it's done as an outpatient procedure and it's not going to lay them up for a few days, like their grandparents. Some patients are still surprised to hear how quickly they can be rehabilitated. On the other hand, some people sit up two minutes after the drape comes off and want to know why it's still blurry.
The summary concept: Cataract surgery is nothing to be afraid of. It is among the safest of surgeries, however it is still surgery. The recovery is among the quickest of any surgical procedures, but it still does require some time to fully heal. Most patients are up and about the next day and can even return to work.
Is it also possible to address vision problems with the surgery?
Nowadays, cataract surgery not only has the ability to remove the clouding, but also enables us to correct their vision. In many cases, it offers the possibility of patients not having to wear any glasses.
With the combination of less traumatic surgery and better technology - such as new cataract lasers, which can increase the precision of the surgery - we can do so much more. With better replacement lenses, we can fix people's astigmatism and their nearsightedness, their farsightedness, their old-sightedness - that's the colloquial term for needing reading glasses.
These new-technology lenses that allow people to see far and close without their glasses are not for everyone, and they are not fully covered by insurance. But for those that are good candidates, it works extremely well. People are amazed. I have people jump out of the chair one day after surgery, they're that excited.
I've heard that a cataract has to be "ripe" before it is operated on. What does that mean?
The term ripe was coined ages ago, when we hesitated to operate on cataracts because the surgery was more unpredictable and dangerous. So in those years, people would wait until they really could not see at all. Or until the cataract changed color, leading to the description of it being ripe. Nowadays, no one would want to wait until the cataract got that severe, because you'd be unable to function in modern society.
What is on the horizon?
One of the things we're looking at now is dropless cataract surgery, where the patients don't use eyedrops afterward during the healing process. This will save patients money. Plus, it can be challenging for some patients to give themselves the drops or keep track of them, so this could make it easier. It has not absolutely been proven that this is superior to drops; it's something we're still evaluating.
Wills Eye researchers also are looking at some drops that may delay or partially reverse cataract formation. That's a long way away, and it's unclear whether it will really clear up the vision sufficiently to make it a viable alternative to the kind of amazing results we get with surgery.