Medical mystery: What caused chest pain, shortness of breath in older man?
The patient was visibly winded, and his exam showed evidence of fluid in his lungs and legs. It appeared that he had developed congestive heart failure.

I was looking forward to seeing one of my favorite patients last week. This 89-year-old Indian American man was added to my schedule as an urgent visit.
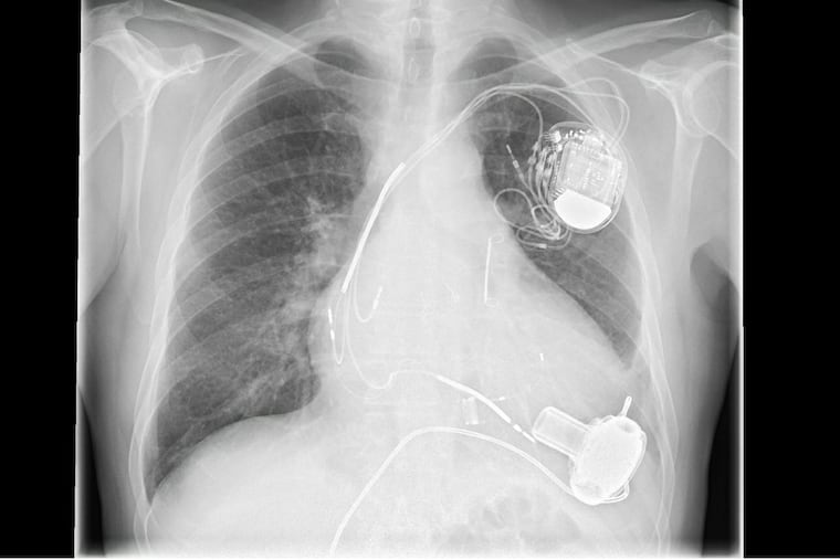
He had had a pacemaker implanted at Temple Hospital just the week before and a visiting nurse was sent to check on him after his operation. The nurse had called and said the man was short of breath and seemed to be retaining fluid just four days after his pacemaker operation.
The man came to the visit accompanied by his son, who has been more involved in his care since his wife died last year. He was visibly winded when I saw him, and his exam showed evidence of fluid in his lungs and legs. It appeared that he had developed congestive heart failure in the last few days — a new problem for him.
Several decisions needed to be made right away. One option was to have him hospitalized for an invasive test called a cardiac catheterization. This would exclude a heart attack, and help guide treatment. But because he was 89 years old, anxious to avoid another invasive test, and staying with his son who was managing his care, I elected not to put him in the hospital.
Instead, I ordered several outpatient tests and started him on a diuretic called Lasix twice a day and a potassium supplement.
The next day, I performed an echocardiogram — or cardiac ultrasound — chest X-ray, and lab studies. His echocardiogram showed newly depressed heart function, with his heart squeezing at only half its usual strength. His chest X-ray also confirmed congestive heart failure.
But what caused him to become sick so soon after his new pacemaker was implanted?
Solution:
There are many causes of shortness of breath, but this kind, from congestive heart failure, brought several cardiac possibilities to mind:
His new pacemaker may have malfunctioned.
He could have had a heart attack. This can occur without any chest pain, presenting with sudden shortness of breath.
His normally functioning pacemaker might be causing his heart to beat out of sync, which can result in what is called pacing-induced cardiomyopathy.
The stress of his recent surgery caused the problem.
Before the patient left my office on the initial visit, his pacemaker was checked and found to be functioning normally, so that checked off the possibility of a malfunctioning device.
An out-of-sync heartbeat from a normally functioning pacemaker was ruled out because the timing was off. This side effect usually does not occur until months after a pacemaker is inserted.
A heart attack was still a possibility. But ultimately, I determined stress-induced cardiomyopathy was the reason he was so sick.
Its symptoms — chest pain and shortness of breath — are initially indistinguishable from a heart attack. But his echocardiogram shed some light on the cause.
Stress-induced cardiomyopathy is also called takotsubo, after a Japanese pot with a round body and small neck used to trap octopus. It is so named because of the unique appearance of the heart on an echocardiogram. My patient's echocardiogram looked just like a Japanese octopus pot.
Although an uncommon complication after a pacemaker, Dr. Google let me know that several prior cases have been reported.
The condition is also known as "broken-heart syndrome." The precise cause is not known, but it is typically a reaction to stress brought on from the loss of a loved one, sudden illness, or natural disasters such as hurricanes or earthquakes. Apparently, we can now add getting a new pacemaker to this list.
He became better quickly with medication. Two weeks after his initial visit, he was feeling back to normal and his leg swelling was gone. A repeat echocardiogram done a month after the initial diagnosis showed complete normalization of his heart function. He went home with his son with a big smile on his face.
David Becker, M.D., is a board-certified cardiologist at Chestnut Hill Temple Cardiology, and associate director of preventive cardiology at the Temple Heart and Vascular Institute.