Scientists peer inside cancer using water and light
Peering into live tissue to spot microscopic cancers — as well as signs of aging and normal development — could someday help physicians excise tumors that today evade even the most skilled surgeons.

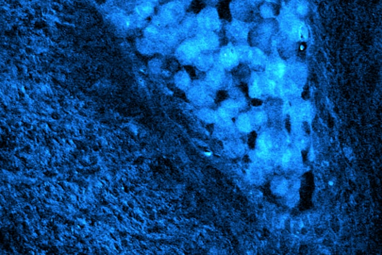
A bright spike from a brain tumor stabs into the spongy mesh around it. Blobs of colon cancer, which vaguely resemble nebulae, light up blue against an otherwise black background. The border that divides these rapidly dividing masses from healthy tissue is plain to see.
In a study published Monday in the journal Nature Communications, scientists from Columbia University describe a new, noninvasive way to image cancer cells, as they ravage living tissue. Peering into live tissue to spot microscopic cancers — as well as signs of aging and normal development — could someday help physicians excise tumors that today evade even the most skilled surgeons.
Existing imaging techniques such as PET and MRI can image cancer in live tissues, but they "cannot separate every single cell," according to lead author and postdoctoral researcher Lingyan Shi. Tissue suspected of being cancerous can be cut out, treated with harsh chemicals, and scrutinized under a microscope, but that invasive process is not always practical.
To capture high-resolution images of cancer cells without razors and harsh chemicals, Shi's team put a clever spin on two familiar substances: water and light.
Water isn't much to look at under a microscope, yet living cells are full of it. To make cells more scenic, the team fed heavy water to several small animals — roundworms, mice, and the embryos of zebrafish — as well as to lab-grown human cells.
Heavy water — in which hydrogen molecules are replaced with a hydrogen isotope called deuterium — looks and tastes like regular water, but its extra density means it can be used as a chemical tracer inside living cells. Once inside, its heavier-than-normal atoms are plucked off and folded into the biomolecules that make cells run. Though most famous for its role in nuclear reactors, heavy water is safe to drink in very small quantities.
To get light to dance with the incorporated heavy atoms, a pair of lasers were shined onto the animals, tissues, and cells. Powerful microscopes were used to observe what happened.
Light makes different parts of a cell jiggle differently; molecules of DNA with heavy atoms attached vibrate in their own way, as do fat molecules and the atoms that make up proteins. By tuning their microscopes to the frequencies of each of these parts, the team could watch as heavy water was folded into the new cells.
Rapidly dividing cancer cells incorporate many heavy atoms, so they shine brightest. But the team was also able to watch molecules being made in other places, including the thin layer of fat that sheaths mouse brains during development and in clumps of proteins that accumulate in aging roundworms.
"By tracking where and when new proteins, lipids, and DNA molecules are made, we can learn more about how animals develop and age, and what goes wrong in the case of injury and disease," said senior author Wei Min, professor of chemistry at Columbia University, in a statement.
Shi hopes someday heavy water and miniaturized microscopes placed on the tips of endoscopes could help physicians diagnose and even operate on cancer. Glioblastoma, the type of aggressive brain cancer than Arizona Senator John McCain is fighting, is difficult to treat via surgery — removing too much tissue risks brain damage, removing too little leaves the seeds of future tumors behind. Shi said the new technique "clearly shows the difference in metabolic activity between the tumor cells and healthy cells."
The technique will undoubtedly lead to scientific insights, said Ji-Xin Cheng, a professor of chemistry and physics at Boston University who was not involved in the study. But using it to detect cancer in the clinic will depend on whether enough heavy water can be administered without making patients sick, he said.