Toddler survives colored pencil through her brain
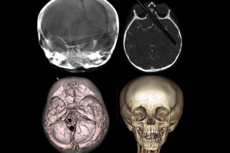
20-month-old Olivia Smith was coloring when she accidentally fell off the sofa in her home in New Boston, N.H. In the midst of the fall, one of her colored pencils entered her right eye socket, crossed through her brain and lodged itself there.

This will make you think twice before picking up that coloring book again!
20-month-old Olivia Smith was coloring when she accidentally fell off the sofa in her home in New Boston, N.H. In the midst of the fall, one of her colored pencils entered her right eye socket, crossed through her brain and lodged itself there.
And unfortunately this colored pencil wasn't toddler-sized – the entire 5 inch instrument was lodged in her skull. Take a minute to process that – 5 whole inches. Yes I know what you're thinking, was there even that much room for the pencil? Apparently, yes.
According to CBS News, "When her parents saw the tip of the pencil, they thought it had broken off and didn't realize the entire pencil was inside their daughter's head."
Luckily (which is probably the understatement of the year), the pencil managed to take the one and only route through Olivia's brain that would not cause her serious and permanent damage. Even the angle in which the pencil entered managed to miss all major optical nerves – it's almost like it never even happened!
Dr. Darren B. Orbach, neurointerventional radiologist at Boston Children's Hospital, told CBS News that if he had to draw a line through a person's skull that would create the least amount of damage, it couldn't get any closer than that pencil's trajectory.
The pediatric neurosurgeon on duty painstakingly (but not for Olivia!) pulled the pencil out, millimeter by millimeter, until it was completely removed, and now Olivia is on her way to full recovery.
How's that for your daily dose of weird medical news?
Read the full story at CBSnews.com